Efekty leczenia
Strona w budowie – zapraszamy wkrótce
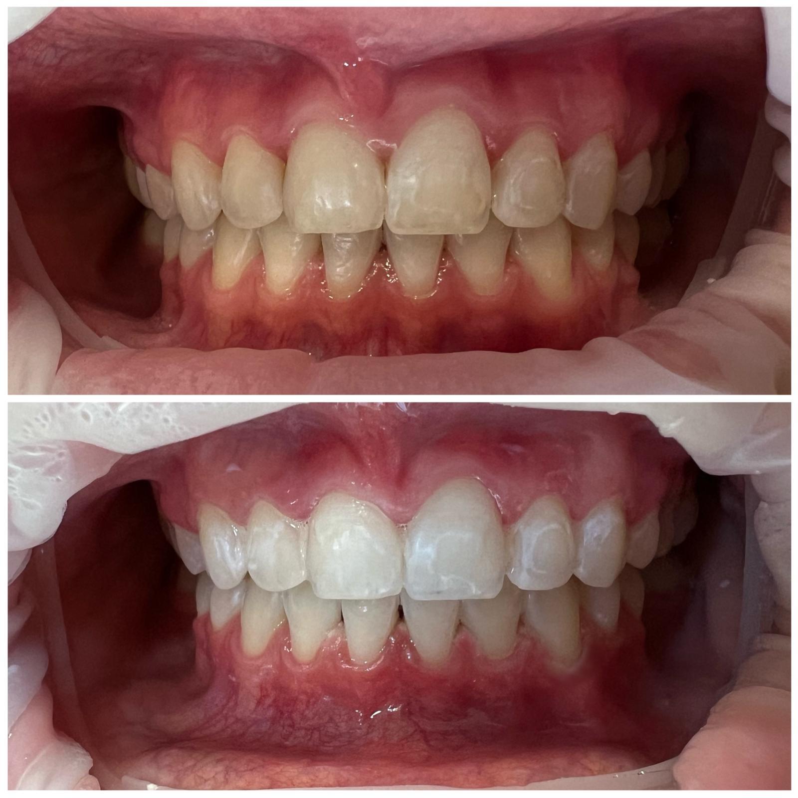
Lek. stom. Joannna Zawirska-Poła
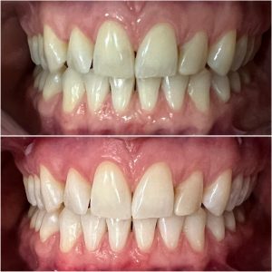
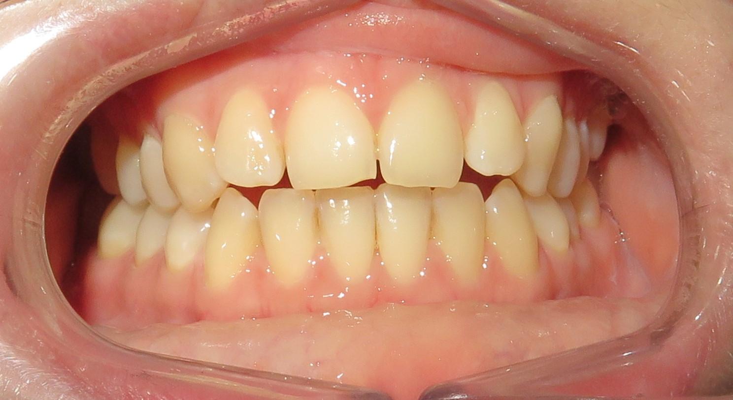
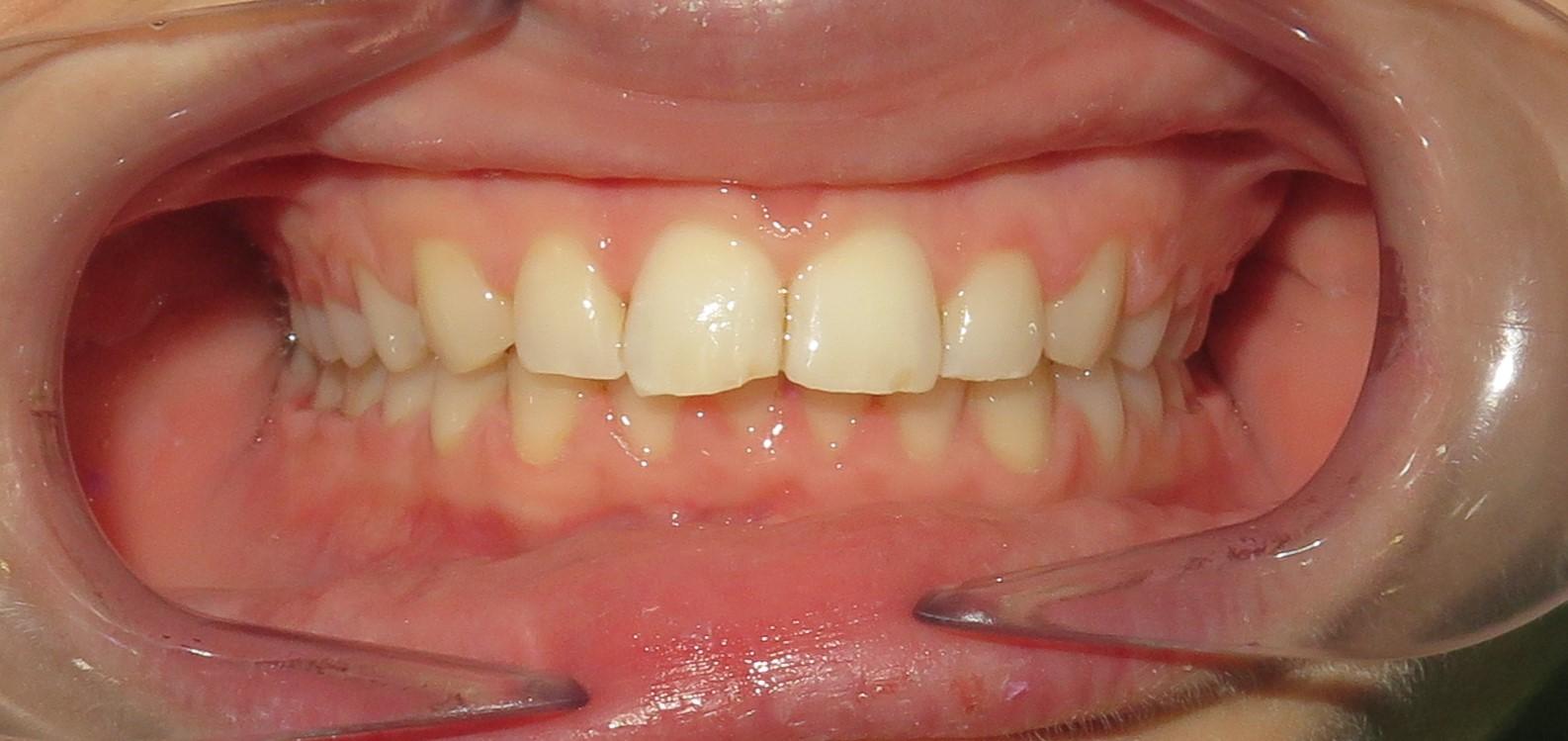
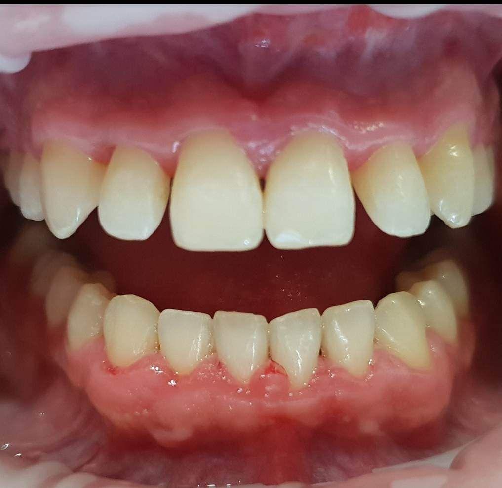
Przedstawiamy metamorfozę naszej Pacjentki, której bardzo zależało na wyprowadzeniu swoich problemów zarówno leczniczo jak i estetycznie.
Pierwszy etap to kompleksowa konsultacja u dr Joanny Zawirskiej-Poły. Podczas tej wizyty zostało wykonane badanie przedmiotowe, podmiotowe, badanie mięśni i stawów, analiza okluzji, badanie stomatologiczne, tomografia komputerowa, rejestracja fotograficzna i długa rozmowa z Pacjentką na temat jej oczekiwań.
Na pierwszej konsultacji Pacjentka dowiedziała się o wszystkich możliwych wariantach działań. Z każdej z przedstawionych opcji zostały również naświetlone wady i zalety danych rozwiązań w perspektywie długofalowej.
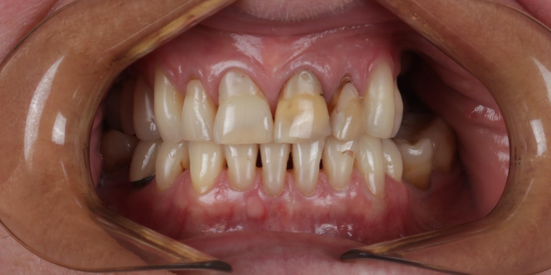
Pacjentka, zgłaszając się już na kolejną wizytę świadomie podjęła opcję pośrednią z proponowanych działań: wyleczenie zębów zachowawczo, endodontycznie z zabezpieczeniem protetycznym, estetyczne korekty uśmiechu licówkami, ćwierćkoronami i koronami, jednak bez pełnej przebudowy zwarcia (z zachowaniem starszych odbudów w strefach bocznych, które były wykonane na implantach w przeszłości), która jest zawsze najbardziej polecana, odtwarza prawidłowe kontakty, a także umożliwia lekarzowi i technikowi najlepsze warunki do nadania odpowiednich i harmonijnych kształtów. Te wszystkie działania chronią na przyszłość staw skroniowo-żuchwowy.
Następnie dr Joanna przekierowała Pacjentkę na kompleksowe działania endodontyczne do dr Aleksy Muchy.Po tym dr Joanna mogła przystąpić do działań protetycznych.
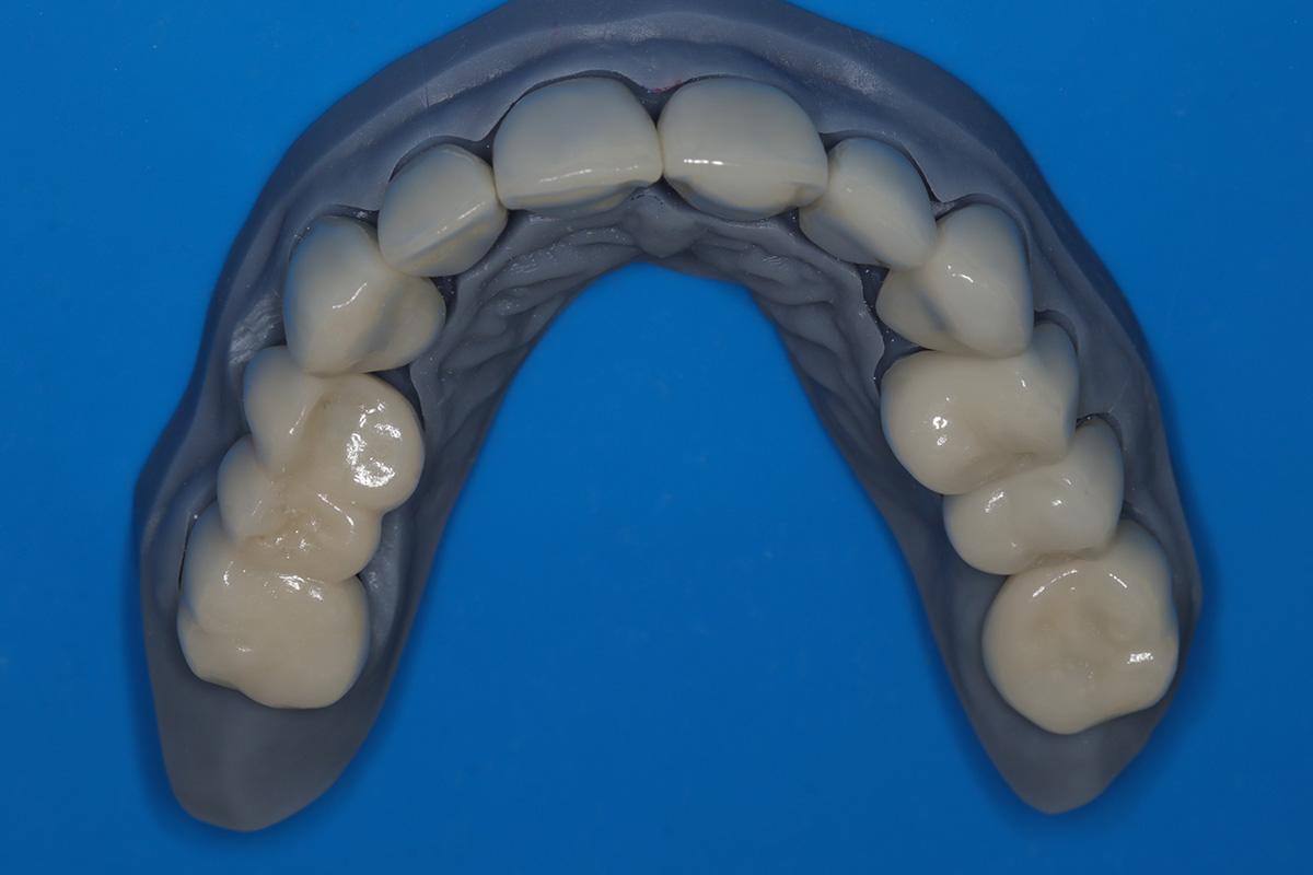
Prace protetyczne odbywały się we współpracy z Laboratorium Dental Scan, ściślej z Panią Anną Simierską i Agatą Łatyk-Banasik.
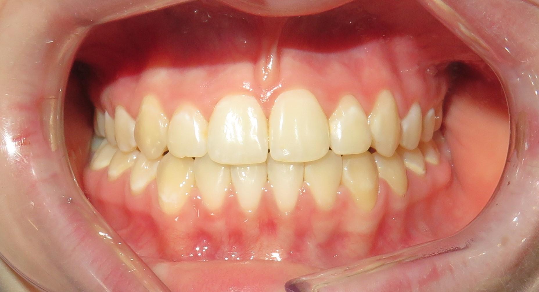
Cała terapia, jak zawsze w takich przebudowach, nawet częściowych wiąże się z bezwzględnym zwieńczeniem wykonania szyny ochronnej, której konstrukcja jest zawsze uwarunkowana indywidualnie. Zalecenia jej noszenia przez lekarza również są indywidualne i mogą się zmieniać w perspektywie czasu.
Tak wyprowadzony Pacjent powinien stawiać się (oczywiście zawsze z szyną) na wizytach kontrolnych co 6 m-cy. W międzyczasie z zaleceń lekarza z pewnością wskazane mogą być zabiegi higienizacyjne u naszych Pań higienistek, by podtrzymać u Pacjenta zdrowy stan przyzębia.
Tak Pacjentka skomentowała uzyskany efekt: “Od zawsze marzyłam o takiej zmianie, żałuję, że nie zdecydowałam się wcześniej”.
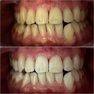
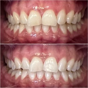
Pacjentka umówiła się do dr Joanny Zawirskiej-Poły na kompleksową konsultację w celu poprawy estetyki swojego uśmiechu i uzupełnienia braków zębowych.
Pomimo zaleceń dr do wdrożenia również leczenia ortodontycznego, Pacjentka, znając wszystkie wady i zalety bezwzględnie zdecydowana zakamuflować stłoczenia, nieprawidłowości kontaktów, płaszczyzny zgryzowe, tylko i wyłącznie protetycznymi rozwiązaniami. Dr Joanna ustaliła z Pacjentką pod Jej wymagania wspólny plan działań. Wybierając takie rozwiązanie lekarz i laboratorium ma zawsze utrudnienie, by jaknajbardziej harmonijnie zaplanować projekt uśmiechu.
Higienizację, przygotowującą naszą Pacjentkę do realizacji ustalonego planu działań, przeprowadziła Pani higienistka, Joanna Woźniak.
Pacjentka przeszła pełną rehabilitację zwarcia i zabiegi mikrochirurgiczne w zakresie dziąseł i kości u dr Joanny Zawirskiej Poły. Relaksacją mięśni zajęła się nasza fizjoterapeutka, Pani mgr Hanna Neścior.
Leczeniem zachowawczym zajęły się nasze dwie Panie doktor: Angelika Chancewicz i Aleksandra Bąk.
Pracę protetyczną dr Joanna Zawirska-Poła wykonywała we współpracy z laboratorium Dental Scan ( bezpośrednio Pani Anna Simierska i Pani Agata Łatyk- Banasik).
Po zakończonych naszych działaniach Nasza Pacjentka podsumowała to w jednym zdaniu: “Best Decision Ever 🙂”.
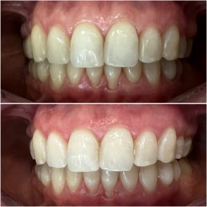
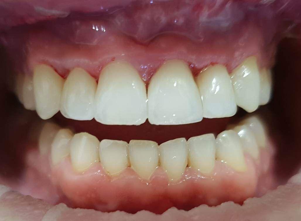
Lek. stom. Michał Badowski
Pacjentka zgłosiła się do naszej Kliniki, gdyż od zawsze marzyła o zdrowym i pięknym uśmiechu.
Pod kierownictwem lek. stom. Michała Badowskiego po wnikliwej analizie została przeprowadzona korekta dziąseł i pozbycie się nieestetycznych koron na podbudowie metalowej, eliminując tym samym nawracające stany zapalne dziąseł.
Następnie została wykonana wizualizacja nowego uśmiechu, idealnie dopasowana do twarzy Pacjentki. Po jej akceptacji, przygotowaliśmy komplet koron i licówek pełnoceramicznych na górne i dolne zęby.
Całe leczenie trwało zaledwie 3 miesiące!
Dzięki współpracy lek. stom. Michała Badowskiego i techn. dent. Joanny Gancarz z laboratorium Dentalscan Pacjentka zachwyca pięknym uśmiechem!
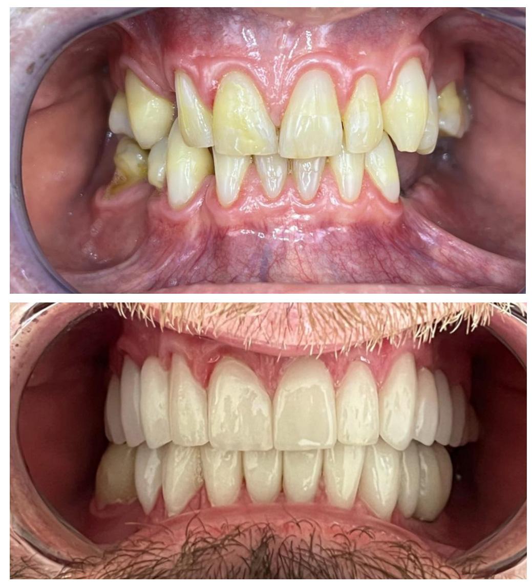
Pacjent zgłosił się do Kliniki, by odbudować braki zębowe, przywrócić możliwość swobodnego jedzenia i funkcjonowania. Nasz zespół podjął się wyzwania, w którym głównym założeniem było, aby nowe zęby wyglądały jak najbardziej naturalnie i stosownie do wieku.
Przeprowadziliśmy precyzyjne leczenie implantologiczne, wszczepiając 11 implantów w szczęce i żuchwie. Konieczna była też regeneracja kości. Po 6 miesiącach gojenia nastąpiła odbudowa pełnołukowa. Kształt, kolor i ustawienie zębów zostały dobrane oraz wykonane na indywidualne życzenie Pacjenta.
Leczenie chirurgiczne i implanto-protetyczne przeprowadził lek.stom. Michał Badowski.
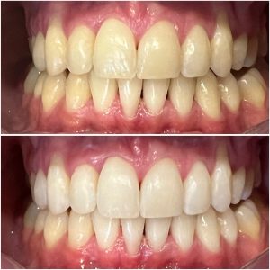
Pacjentka zgłosiła się do naszej kliniki po „uśmiech jak z Hollywood”.
Aby osiągnąć taki efekt, musieliśmy przeprowadzić ekstrakcję złamanej górnej jedynki i w jej miejsce jednoczasowo wszczepić implant, a następnie na pozostałe zęby wykonać licówki i korony pełnoceramiczne w najjaśniejszym odcieniu.
Całość została zaprojektowana w harmonii z twarzą i rodzajem uśmiechu naszej Pacjentki. Leczenie trwało 3 miesiące.
Wykonał je lek.stom. Michał Badowski we współpracy z laboratorium Dentalscan (tech.dent. Joanna Gancarz).
Poznajcie historię Pana Bogdana, który marzył o nowym uśmiechu.
Podczas wizyty lek. stom. Michał Badowski przeprowadził dokładną diagnostykę i przedstawił plan leczenia.
Następnie za pomocą nowoczesnych technologii cyfrowo zaprojektowaliśmy uśmiech, który Pan Bogdan mógł przymierzyć jeszcze przed rozpoczęciem właściwych zabiegów! Później została wykonana kompletna przebudowa zgryzu i uzupełnienie braków zębowych.
Pan Bogdan otrzymał nie tylko nowy uśmiech, ale zupełnie nowe życie!
Efekt mówi sam za siebie
Pacjentka po kilkuletnim leczeniu ortodontycznym w innej klinice, niezadowolona z efektu końcowego, zgłosiła się na konsultacje do naszej kliniki.
Przypadek Pacjentki:
- Pacjentka nie miała zawiązków górnych dwójek.
- Wszczepiliśmy implant w miejsce górnej dwójki.
- Przeprowadziliśmy wybielanie zębów, aby uzyskać idealny odcień.
- Wykonaliśmy pełnoceramiczne licówki na górne jedynki.
- Zmieniliśmy wygląd kła przy pomocy licówki, aby wyglądał jak naturalna dwójka.
Całe leczenie trwało tylko 3 miesiące, a efekt końcowy przeszedł najśmielsze oczekiwania.
Licówki i korona na implancie wykonane przez laboratorium Dentalscan.
Higienistka stomatologiczna
Ewa Złotek
Efekt wybielania metodą Prevdent
Efekt wybielania metodą Prevdent
Efekt wybielania metodą Prevdent
Efekt wybielania metodą Prevdent
Efekt wybielania metodą Prevdent
Efekt wybielania metodą Prevdent
Efekt wybielania metodą Prevdent
Efekt wybielania metodą Prevdent
Efekt wybielania metodą Prevdent
Specjalistka protetyki stomatologicznej
Magdalena Zawirska
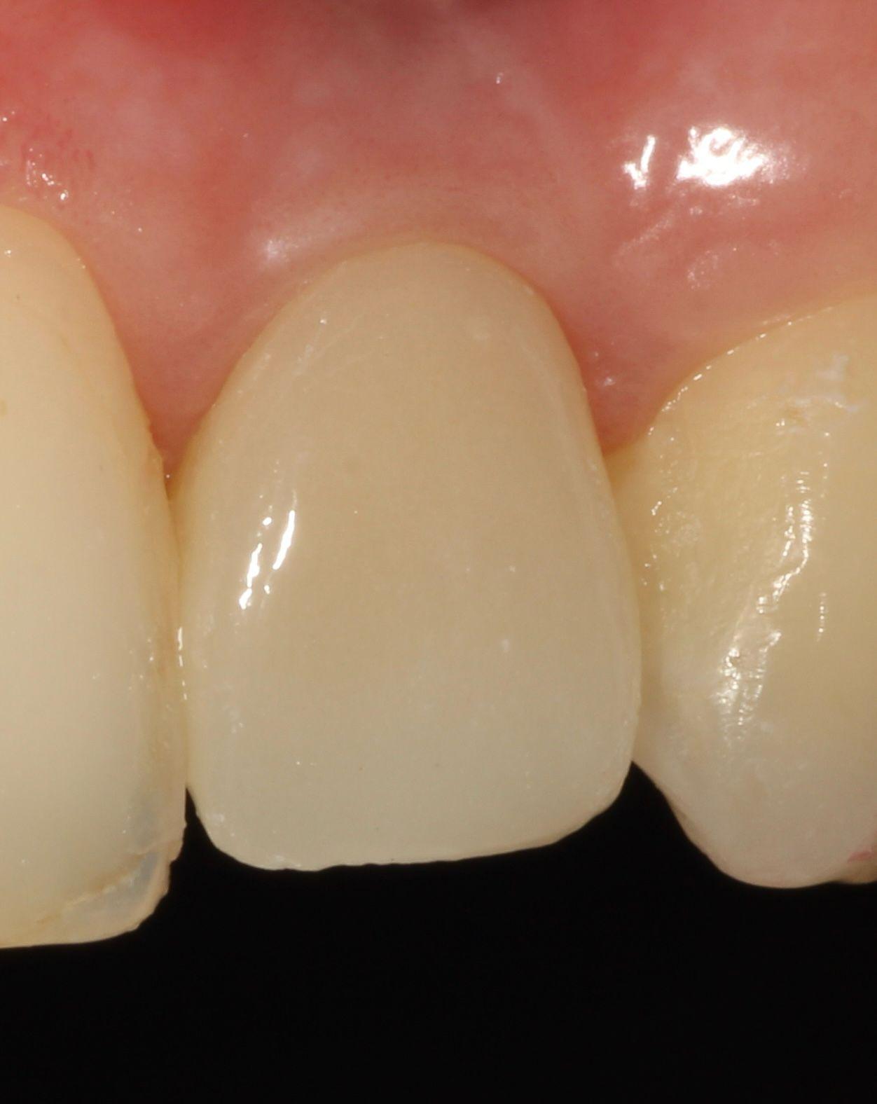
Pacjentka zgłosiła się do Kliniki Platinum z powodu niezadowalającego kształtu i koloru zębów oraz występowania licznych recesji dziąsłowych w żuchwie.
Dzięki precyzyjnej diagnostyce, doktor Magdalena Zawirska opracowała kompleksowy plan leczenia, który obejmował: stomatologię zachowawczą, periodontologię i protetykę stomatologiczną. Zastosowano licówki i korony pełnoceramiczne, przeprowadzając kompleksową rekonstrukcję zwarcia.
Pacjentka może się teraz cieszyć się pięknym i zdrowym uśmiechem
Pacjent po długotrwałym leczeniu chirurgicznym i ortodontycznym w Klinice Platinum został skierowany do lekarza protetyka dr Magdaleny Zawirskiej celem zlikwidowania obecnych trem i diastemy oraz poprawy kształtu zębów.
dr Magdalena zastosowała innowacyjną metodę odbudowy zębów, znaną jako bonding. To bezpieczna i nieinwazyjna technika, która nie wymaga szlifowania zębów. Dzięki wykorzystaniu materiału kompozytowego, został osiągnięty natychmiastowy efekt – od razu już po jednej wizycie.
Teraz Pacjent może pochwalić się pięknym uśmiechem!
Chirurg, implantolog
Michał Mokijewski
Poprawianie zawsze jest trudne i obarczone dużym ryzykiem niepowodzenia 🙁 Nieumiejętne zarządzanie kością i dziąsłami przy implantacjach skutkuje efektem takim jak na pierwszym zdjęciu. Po przeprowadoznych przez naszego chirurga Michała Mokijewskiego 7 zabiegach korekcyjnych i pomimo znaczącej poprawy, efekt finalny z drugiego zdjęcia jest daleki od naturalnego wyglądu zęba i dziąseł.
Dobrze przeprowadzony zabieg implantacji natychmiastowej daje efekty jak na pozostałych zdjęciach! Na każdym etapie leczenia mamy pełną kontrolę nad wszystkimi aspektami przyszłej odbudowy protetycznej – można powiedzieć, że zachowujemy to, co najtrudneijsze do odtworzenia, czyli kształt dziąseł.
Cytując Michała Mokijewskiego: „Pacjent przychodzi po idealny ząb, a nie po implant”.
Tylko implantacja natychmiastowa pozwala nam uzyskać taki efekt w zaledwie 3 wizyty.
Odbudowa zębów w 24h!
Nasz pacjent stracił zęby wiele lat temu i największą jego obawą był czas procesu przywracania pięknego uśmiechu. Dzięki opracowaniu indywidualnego planu, w którym określono precyzyjne umiejscowienie sześciu implantów, mogliśmy zaoferować pacjentowi nasz innowacyjny protokół 24h.
Cała metamorfoza zajęła zaledwie 2,5 godziny – 2 godziny na zabieg wszczepiania implantów i 30 minut na montaż nowego kompletu zębów następnego dnia. Dzięki temu podejściu „dziś implanty – jutro zęby” szybko i bezpiecznie przywróciliśmy uśmiech naszego Pacjenta, minimalizując przy tym ryzyko i dyskomfort.
Przykład ten jest dowodem na to, że zaawansowane technologie i doświadczenie naszych specjalistów mogą czynić cuda.
Lekarz dentysta, Master of Science Orthodontics (MSc)
Agnieszka Łukowicz
Leczenie nakładkowe
Leczenie aparatem stałym ligaturowym
Leczenie aparatem stałym metalowym ligaturowym, które trwało 1,5 roku.
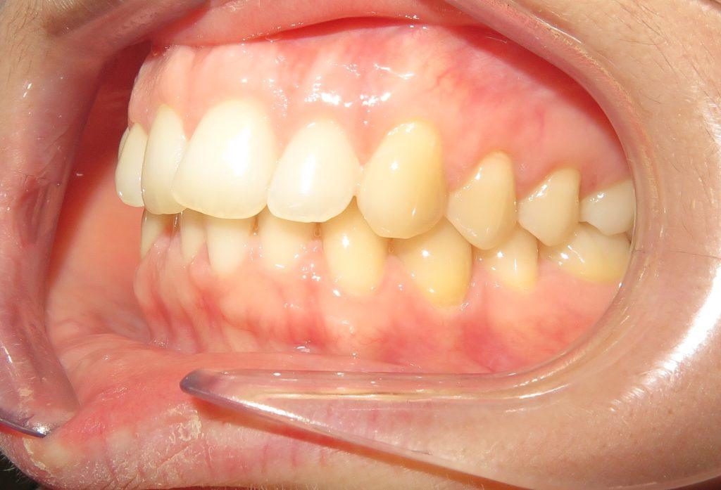
Głównym problemem był zgryz otwarty przedni, a także rotacje zębów oraz mała ekspozycja siekaczy w uśmiechu.
Pacjentka zgłosiła się do nas z takimi problemami, jak:
❌ zwężone łuki zębowe,
❌ tyłozgryz,
❌ głęboki zgryz,
❌ stłoczenia,
❌ zrotowane i starte zęby
Pod opieką Agnieszki Łukowicz, Master of Science Orthodontics została poddana zaawansowanemu leczeniu aparatem stałym ligaturowym, Dzięki czemu udało się osiągnąć znaczące zmiany:
✅poszerzenie luków zębowych,
✅korekta tyłozgryzu,
✅rozwiązanie stłoczenia,
✅odrotowanie zrotowanych zębów,
✅odbudowa startych zębów.
Efekt estetyczny został dopełniony przez wybielanie zębów i odbudowę kompozytową wykonaną przez dr Monikę Niewitecką.
Przedstawiamy piękny i zdrowy uśmiech naszej Pacjentki!
lek. stom. Anastazja Kraczkowska
Zamykanie diastemy (szczelina między centralnymi siekaczami).
Dr Anastazja Kraczkowska wykonała estetyczną odbudowę kompozytową z maksymalną ochroną tkanek zęba. Leczenie odbyło się podczas 1 wizyty, która trwała 2 godziny.
Licówki kompozytowe (bonding)
Wymiana wypełnień i leczenie próchnicy zębów przednich (wypełnienia kompozytowe)
Odbudowa kompozytem szyjek zębów przy starciu
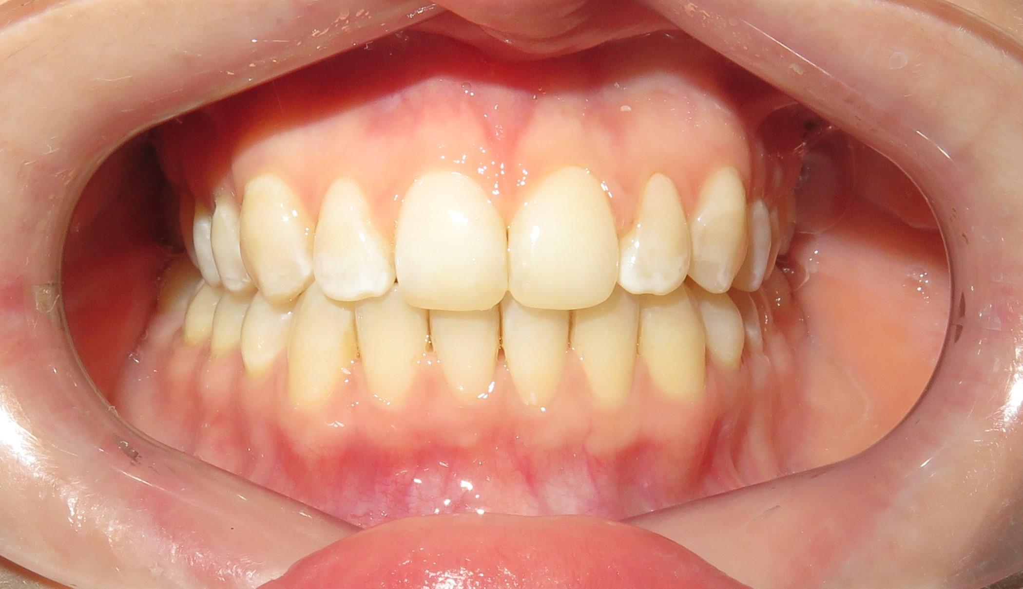
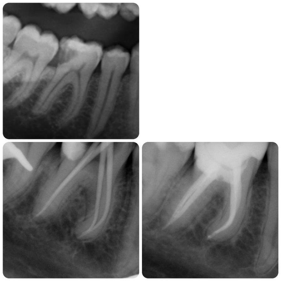
Leczenie kanałowe pierwotne
Konserwatywne leczenie torbieli korzeniowej (reendo – powtórne leczenie kanałowe).
Efekt po 6 miesiącach.
lek. stom. Aleksa Mucha
Pacjentka została objęta w naszej Klinice kompleksowym leczeniem implanto-protetycznym.
Podczas gdy w dolnym łuku dr Michał Mokijewski przeprowadzał zabiegi regeneracyjne i implantacje, zajęłyśmy się leczeniem łuku górnego.
Zgodnie z zasadą, że prace protetyczne powinny być oparte na zdrowych i solidnych fundamentach, zaczęłyśmy od podstaw – wymiana nieszczelnych wypełnień, powtórne leczenia kanałowe.
Praca została zwieńczona odbudową zębów koronami cyrkonowymi. Brakujący ząb, którego nie można było uzupełnić implantem z powodu za małej ilości miejsca, odtworzono za pomocą cyrkonowego mostu.
Zgodnie z życzeniem Pacjentki poprawiony został kolor i kształt zębów. Kamuflaż protetyczny umożliwił także skorygowanie asymetrii.
Dzięki profesjonalizmowi naszych lekarzy, Pacjentka ma teraz zdrowy, piękny uśmiech!
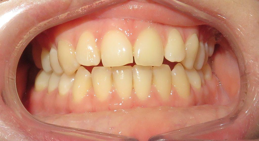
Pacjentka zgłosiła się do Kliniki celem odbudowania górnych siekaczy. Przebarwione, pokryte licznymi wypełnieniami jedynki i lewa dwójka sprawiały Pacjentce dyskomfort, przez co wstydziła się uśmiechać.
Wykonano odbudowę koronami cyrkonowymi, dla harmonii włączono w pracę również prawą dwójkę.
Zachwycona efektem końcowym Pacjentka z radością eksponuje nowy uśmiech i, jak sama przyznaje, „czuje się znów tak, jak za młodu„. Co też potwierdza Jej mąż 🙂
Dyplomowana higienistka Małgorzata Wodzyńska
Wybielanie prevdent A4 – B1
Higienizacja
Pełna higienizacja
Wybielanie zębów prevdent
Wybielanie zębów GW Prevdent
Wybielanie zębów Prevdent
Agnieszka Łukowicz
Metamorfoza 1
Metamorfoza 2
Metamorfoza 3


















































